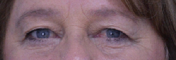
✨ 1 year post-op ✨
One year after an endoscopic brow lift combined with upper blepharoplasty, this patient continues to enjoy beautifully lasting results.
She initially presented with significant heaviness of the brows and upper eyelids, which not only affected her appearance but also interfered with her vision. By elevating the brow and removing excess upper eyelid skin, we were able to restore a more open, refreshed eye area.
At one year out, her vision is markedly improved, and her eyes appear larger, brighter, and more expressive—a change she feels and others immediately notice.
Natural, functional, and enduring results are always the goal.






