Blepharoplasty: Before & After Photos
Surgeries performed by facial plastic surgeon Dr. Kyle Yamamoto in Reno, NV
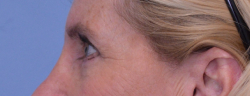
Patient 1
✨ 5 Months Post Upper & Lower Blepharoplasty ✨ This patient in her early 60s was bothered by the fullness of her lower eyelids and the overall aging appearance around her eyes. She underwent upper and lower blepharoplasty, which addressed excess skin, fat, and puffiness to create a more refreshed, youthful, and natural look. At 5 months post-op, her […]
Individual results may vary.
Click here to contact Dr. Kyle Yamamoto and set up a consultation.
Patient 2
3 Months Post-Op: Upper & Lower Blepharoplasty This 60-year-old male patient came to me wanting to address the tired appearance around his eyes. Just three months after upper and lower blepharoplasty, his eyes look noticeably brighter and more rested—without any signs of looking “overdone.” He’s very happy with his refreshed, natural results. For many male […]
Individual results may vary.
Click here to contact Dr. Kyle Yamamoto and set up a consultation.
Patient 3
As a facial plastic surgeon, one of the most common procedures I perform is upper blepharoplasty (upper eyelid surgery). While many assume it’s only for patients in their 50s or 60s, that’s not always the case—genetics can play a major role in when someone seeks this procedure. Recently, I treated a woman in her late 20s […]
Individual results may vary.
Click here to contact Dr. Kyle Yamamoto and set up a consultation.
Patient 4
Blepharoplasty (Eyelid Surgery) Photos: Case #27644 I recently had the privilege of performing upper blepharoplasty on a wonderful patient in her late 70s. She came to me with significant excess skin that was not only obstructing her vision but also covering her eyelashes, which affected her overall quality of life. The Transformation: The procedure aimed to […]
Individual results may vary.
Click here to contact Dr. Kyle Yamamoto and set up a consultation.
Patient 5
Blepharoplasty (Eyelid Surgery) Photos: Case #27651 This amazing new 50 year was feeling much younger than she felt she looked. Look how an upper blepharoplasty has transformed this gorgeous patient.
Individual results may vary.
Click here to contact Dr. Kyle Yamamoto and set up a consultation.
Patient 6
Blepharoplasty (Eyelid Surgery) Photos: Case #5782 Patient in her 60s was not happy how much eyelids skin sagged from both sides. Only two months after her procedure, the patient have noticed a significant difference. In the after photos, you can see the outer eye corners with less skin weighing down her eyes. She was very […]
Individual results may vary.
Click here to contact Dr. Kyle Yamamoto and set up a consultation.
Patient 7
This patient is in her early 40s. She felt her eyelids had become droopy and didn’t like how she had lost the eyelid crease. She is loving how these results make her look and feel years younger.
Individual results may vary.
Click here to contact Dr. Kyle Yamamoto and set up a consultation.
Patient 8
Blepharoplasty (Eyelid Surgery) Photos: Case #3381
Individual results may vary.
Click here to contact Dr. Kyle Yamamoto and set up a consultation.
Patient 9
Blepharoplasty (Eyelid Surgery) Photos: Case #23709 This male patient had upper and lower blepharoplasty surgery. He said that not only do his eyelids look better, but his vision has improved and he does not look like he is squinting.
Individual results may vary.
Click here to contact Dr. Kyle Yamamoto and set up a consultation.
Patient 10
Blepharoplasty (Eyelid Surgery) Photos: Case #3018
Individual results may vary.
Click here to contact Dr. Kyle Yamamoto and set up a consultation.
Contact Us to View More Real Patient Before & After Photos






































